반응형



1. MRI의 정의와 원리
"MRI(Magnetic Resonance Imaging, 자기공명영상)"는 강력한 자기장과 라디오파를 이용해 체내 조직을 영상화하는 기술입니다.
- 원리: 인체 내 수소 원자의 핵스핀(Nuclear Spin)이 자기장에 반응하며 방출하는 신호를 측정하여 이미지를 형성합니다.
- 주요 특징: 연부 조직(뇌, 근육, 연골, 척추 등)의 구조를 매우 상세하게 확인 가능
- 장점: 방사선 노출이 없으며, 뼈뿐 아니라 연조직 상태를 정밀하게 평가
MRI는 뇌, 척추, 관절, 복부, 골반 등 다양한 장기 구조 진단에 폭넓게 활용됩니다.
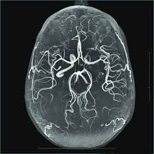
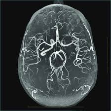
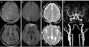
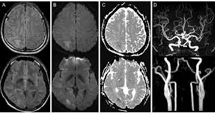
2. MRA의 정의와 원리
반응형
"MRA(Magnetic Resonance Angiography, 자기공명 혈관촬영)"는 MRI를 기반으로 혈관 구조를 영상화한 검사입니다.
- 원리: MRI 기술을 활용하여 혈류 신호를 강조하고, 혈관과 주변 조직을 분리하여 영상화
- 주요 특징: 동맥, 정맥, 혈관 협착, 동맥류 등 혈관 상태 평가에 특화
- 조영제 사용 여부: 일부 경우 가돌리늄 기반 조영제를 사용해 혈류를 더 명확하게 관찰
MRA는 심혈관 질환, 뇌혈관 질환, 말초 혈관 질환 등 혈관 이상 진단에 특히 유용합니다.



3. MRI와 MRA의 목적 차이
MRI와 MRA는 모두 자기공명 기반 영상이지만 목적이 다릅니다.
- MRI: 장기, 조직, 연조직의 구조적 이상 확인
- 뇌종양, 척추 디스크, 관절 손상, 근육/인대 손상
- MRA: 혈관 상태 및 혈류 이상 확인
- 뇌동맥류, 경동맥 협착, 말초 동맥 폐색
즉, MRI는 조직 중심, MRA는 혈관 중심 진단이 기본 목표입니다.
4. MRI와 MRA 검사 과정과 준비
반응형
(1) MRI 검사 과정
- 금속 물질 제거(시계, 귀걸이 등)
- 협착 공간 검사 시 폐쇄공포증 주의
- 환자는 움직이지 않고 20~60분 정도 검사
(2) MRA 검사 과정
- 기본 MRI와 유사하나 혈류 강조 촬영
- 필요 시 조영제 정맥 주사
- 검사 시간은 30~60분 정도
(3) 사전 준비
- 임신 여부 확인
- 신장 기능 이상 시 조영제 사용 제한
- 금속 임플란트 여부 확인


5. MRI와 MRA 장점과 단점 비교
| 항목 | MRI | MRA |
| 목적 | 조직, 장기 구조 확인 | 혈관 및 혈류 평가 |
| 장점 | 연조직 상세 관찰, 방사선 없음 | 혈관 협착, 동맥류 등 확인 가능, 비침습적 |
| 단점 | 혈관 평가 제한, 검사 시간 길음 | 일부 조영제 사용 필요, 금속 민감 |
MRI는 조직 진단, MRA는 혈관 진단에 특화되어 보완적으로 활용됩니다.
6. MRI와 MRA 적응증과 활용 분야
반응형
(1) MRI 적응증
- 뇌: 뇌종양, 뇌경색, 뇌출혈
- 척추: 디스크 탈출, 척추관 협착증
- 관절/근육: 연골 손상, 인대 파열
- 복부/골반: 간, 신장, 전립선 등 구조 확인
(2) MRA 적응증
- 뇌혈관 질환: 동맥류, 뇌경색 위험 평가
- 심혈관 질환: 관상동맥 이상, 대동맥 박리
- 말초혈관 질환: 폐쇄성 혈관질환, 동맥 협착



7. MRI와 MRA 안전성과 주의사항
- 방사선 없음: MRI/MRA는 X-ray 방사선이 없어 반복 검사 가능
- 조영제 주의: 신장 질환 환자는 가돌리늄 기반 조영제 주의
- 금속 주의: 심장박동기, 금속 임플란트 환자 검사 전 확인 필요
- 폐쇄공포증: 검사 중 움직임 제한으로 불편함 있을 수 있음
8. MRI와 MRA 결론 및 선택 기준
반응형
MRI와 MRA는 모두 자기공명 기반 영상이지만, 진단 목적과 평가 대상이 다릅니다.
- 조직 이상 확인 → MRI
- 혈관 이상 확인 → MRA
- 필요에 따라 MRI와 MRA를 동시에 시행하여 종합 평가 가능
환자의 증상, 질환 의심 위치, 기존 병력에 따라 전문의와 상의 후 적절한 검사를 선택하는 것이 중요합니다.
반응형
댓글