1. 입냄새 심한 이유



(1) 구강 내 요인
① 혀의 설태
설태는 혀 표면에 생기는 백색 또는 황색의 찌꺼기로, 박테리아와 음식물 찌꺼기, 세포 잔재 등이 쌓여 형성됩니다. 이 설태는 황화합물(VSC)을 생성하며, 이는 입냄새의 가장 흔한 원인입니다.
② 치석과 치주염
치아 사이에 낀 음식물 찌꺼기나 플라그가 제거되지 않으면 치석으로 굳고, 그로 인해 잇몸에 염증이 생기면서 입냄새가 발생합니다. 특히 치주염은 고약한 냄새를 유발할 수 있습니다.



③ 충치 및 치아 상태
충치는 음식물 찌꺼기가 박테리아와 함께 분해되면서 냄새를 일으킵니다. 치료하지 않고 방치하면 부패한 냄새가 심해지며, 이는 주변 사람들도 인식할 수 있을 정도가 됩니다.
(2) 구강 외 요인
① 구강 건조증
입 안이 건조하면 타액 분비가 줄어들고, 세균이 쉽게 번식하여 냄새를 유발합니다. 입을 자주 벌리고 자거나, 스트레스, 약물 복용 등이 원인이 될 수 있습니다.
② 위장 질환
역류성 식도염, 소화불량, 위염 등 위장관의 문제가 있는 경우, 위의 가스나 내용물이 역류하면서 구취가 발생할 수 있습니다.
③ 흡연 및 음주
담배 속의 타르, 니코틴이 구강 내 점막에 남아 악취를 유발하며, 술은 입과 위장을 자극해 냄새를 심화시킵니다.



④ 특정 음식
마늘, 양파, 고기류는 휘발성 황화합물을 생성하여 입냄새를 심하게 만듭니다. 이런 음식은 섭취 후 소화가 되는 과정에서도 냄새가 혈액을 통해 폐로 전달되어 호흡에서 배출됩니다.
2. 입냄새 제거 방법
(1) 구강 위생 개선
① 하루 두 번 이상 칫솔질
식사 후 3분 이내에 이를 닦고, 최소 하루 2회 이상 정성스럽게 칫솔질을 해야 합니다. 특히 치아와 잇몸 사이를 꼼꼼히 닦아야 치석 발생을 예방할 수 있습니다.
② 혀 클리너 사용
혀를 청결하게 관리하는 것은 입냄새 예방의 핵심입니다. 전용 혀 클리너를 사용해 설태를 제거하면 입냄새가 크게 줄어듭니다. 너무 세게 긁으면 상처가 날 수 있으므로 주의해야 합니다.



③ 치실 및 구강세정제 사용
치실을 이용해 치아 사이 찌꺼기를 제거하고, 항균 성분이 들어 있는 구강세정제로 마무리하면 입냄새의 원인이 되는 박테리아 수를 줄일 수 있습니다.
(2) 생활 습관 개선
① 수분 섭취
충분한 수분 섭취는 타액 분비를 촉진하고 구강을 촉촉하게 유지시켜 세균의 번식을 억제합니다. 하루 1.5~2리터 정도의 물을 자주 나눠 마시는 것이 좋습니다.
② 입으로 숨쉬지 않기
입으로 숨을 쉬면 구강이 쉽게 건조해져 입냄새를 악화시킵니다. 코로 호흡하는 습관을 들이는 것이 도움이 됩니다.
③ 금연 및 금주
담배와 술은 입냄새의 주요 원인이므로 가능하면 중단하는 것이 좋습니다. 특히 흡연은 치주염의 위험을 높여 장기적으로 구취를 악화시킵니다.



(3) 음식 조절
① 섬유질이 풍부한 채소 섭취
생야채와 과일은 씹는 과정에서 침 분비를 촉진하고 구강 내 세균을 씻어내는 효과가 있습니다.
② 유산균 섭취
프로바이오틱스는 장내 환경을 개선하여 장에서 유래하는 입냄새를 줄이는 데 도움이 됩니다.
③ 입냄새 유발 음식 자제
마늘, 양파, 고기류 등의 섭취를 줄이거나 식사 후 바로 양치 또는 구강세정제를 사용하는 습관이 필요합니다.
3. 입냄새로 알 수 있는 병
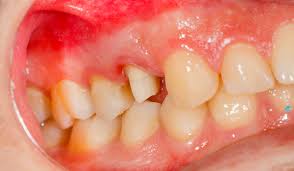
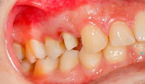
(1) 구강 질환
① 치주염
잇몸이 붓고 피가 나는 증상과 함께 심한 입냄새가 동반됩니다. 진행되면 치아가 흔들리거나 빠질 수 있으므로 조기 치료가 중요합니다.
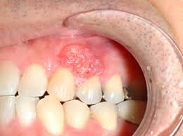
② 구강암
초기에는 통증 없이 입냄새로만 증상이 나타나기도 합니다. 궤양이나 혹이 입안에 오래 지속되면 반드시 병원 진료를 받아야 합니다.



(2) 호흡기 질환
① 부비동염(축농증)
콧물이 목뒤로 넘어가는 후비루 증상과 함께 입냄새가 나는 경우가 있습니다. 누런 콧물, 코막힘, 두통 등이 동반됩니다.
② 편도결석
편도에 생긴 결석은 고약한 냄새를 내며 목을 꺾거나 기침할 때 튀어나올 수 있습니다. 반복적인 입냄새가 있을 경우 편도 상태를 확인해보는 것이 필요합니다.
(3) 소화기 질환
① 역류성 식도염
위산이나 음식물이 식도로 역류하면서 위 냄새가 입으로 올라오게 됩니다. 트림, 속쓰림과 함께 입냄새가 지속된다면 의심할 수 있습니다.



② 헬리코박터균 감염
헬리코박터 파일로리균은 위염, 위궤양 등을 유발할 수 있으며, 위의 환경이 나빠지면서 구취가 발생하기도 합니다. 검사를 통해 정확한 진단을 받아야 합니다.
(4) 내과적 질환
① 당뇨병
혈당이 높을 때, 지방이 분해되며 생성되는 케톤체로 인해 입에서 과일 냄새와 비슷한 특유의 냄새가 날 수 있습니다.
② 간부전
간 기능이 저하되면 독소가 체내에 축적되며 '간성 구취(fetor hepaticus)'라는 독특한 단내 같은 입냄새가 날 수 있습니다.
③ 신부전
콩팥 기능이 저하되면 요독이 혈액에 축적되며, 숨에서 암모니아 냄새 또는 소변 냄새가 나는 경우가 있습니다.
마무리
입냄새는 단순히 구강 위생 문제로만 치부하기 쉬우나, 다양한 전신 질환의 신호일 수 있습니다. 원인을 정확히 파악하고, 생활습관 개선 및 필요한 경우 병원 진료를 병행하여 근본적인 해결을 도모하는 것이 중요합니다.
댓글