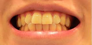
1. 누런이의 원인



누런 치아는 단순한 미용의 문제를 넘어서 구강 건강과도 밀접한 관련이 있습니다.
(1) 외부 착색
① 커피, 홍차, 와인, 콜라 등 색소가 강한 음식 섭취
② 흡연으로 인한 니코틴과 타르의 착색
③ 양치 부족으로 인한 치면세균막 형성
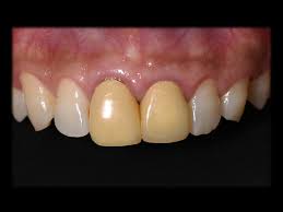
(2) 내부 변색
① 치아의 법랑질이 마모되어 내부 상아질이 드러남
② 항생제(테트라사이클린) 복용 등으로 생긴 선천적 착색
③ 외상이나 충치로 인한 치수 괴사



(3) 노화와 유전적 요인
① 나이가 들수록 치아가 자연스럽게 노랗게 변함
② 유전적으로 상아질이 두껍거나 법랑질이 얇은 경우
2. 생활 속 치아 변색 예방법
누렇게 되는 것을 막는 것이 하얗게 만드는 것보다 더 효과적입니다.
(1) 식습관 조절
① 색소가 강한 음식 섭취 후에는 반드시 물로 입을 헹구기
② 식후 30분 후 양치질 권장 – 산성 음료 후엔 법랑질 보호 필요
③ 너무 단단한 음식으로 인한 치아 마모 주의



(2) 올바른 양치 습관
① 하루 2~3회, 3분 이상 양치
② 치아 사이까지 닦을 수 있는 칫솔 선택
③ 전동 칫솔과 치간칫솔, 구강 세정기 활용도 효과적
(3) 정기적인 스케일링
① 치석은 착색의 주요 원인이므로 6개월마다 스케일링 권장
② 스케일링 후엔 치아 표면이 깨끗해져 착색 방지
3. 누런이 하얗게 하는 방법: 집에서
전문 시술 없이도 일상에서 실천할 수 있는 관리 방법이 있습니다.
(1) 베이킹소다 사용
① 미백 효과가 있으나 일주일에 1~2회로 제한해야 함
② 칫솔에 살짝 묻혀 부드럽게 닦은 후 깨끗이 헹굴 것
③ 과도한 사용은 법랑질을 마모시킬 수 있음
(2) 과산화수소 희석액
① 시중의 구강세정제 성분 중 일부에 포함됨
② 3% 이하의 농도 희석액을 30초 정도 헹궈 사용
③ 장기 사용은 치은염, 점막 손상 유발 가능하므로 주의
(3) 딸기와 베이킹소다 혼합
① 딸기 속 말산이 착색 제거에 도움
② 으깬 딸기에 베이킹소다를 혼합해 치약처럼 사용
③ 일주일에 1회 이하로 제한해야 안전
(4) 활성탄(차콜 파우더)
① 천연 흡착 기능으로 착색 물질 제거
② 제품을 고를 땐 의약외품 여부 확인 필요
③ 너무 강한 연마제는 피해야 함
4. 누런이 하얗게 하는 방법: 전문적인 치아 미백 시술
보다 빠르고 눈에 띄는 효과를 원한다면 전문 치과 시술을 고려할 수 있습니다.
(1) 오피스 미백
① 치과에서 고농도 과산화수소 또는 과산화카바마이드 사용
② 보통 1~3회 내원으로 진행
③ 즉각적인 미백 효과가 강점



(2) 홈 미백
① 치과에서 맞춤 트레이 제작 후 집에서 매일 사용하는 방법
② 저농도 미백제를 꾸준히 사용하여 2~3주 후 효과
③ 부작용이 적고 천천히 밝아지는 것이 특징
(3) 레이저 미백
① 광선을 이용해 미백제를 활성화
② 민감한 치아에는 통증이 있을 수 있음
③ 효과는 빠르지만 비용이 상대적으로 높음
5. 치아 미백 시 주의사항
무분별한 미백은 오히려 구강 건강을 해칠 수 있습니다.
(1) 민감도 증가
① 미백 후 일시적으로 시린 증상 발생 가능
② 법랑질 손상 시 영구적인 민감도가 생길 수 있음
(2) 치아 구조 손상
① 연마제가 들어간 미백 제품은 장기간 사용 금지
② 잇몸에 미백제가 닿으면 자극과 염증 유발 가능
(3) 충치·잇몸질환 있을 때는 시술 지양
① 우선적으로 충치나 잇몸 치료가 선행돼야 안전한 미백 가능
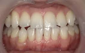
6. 하얀 치아를 오래 유지하는 습관
미백 후에도 유지 관리가 중요합니다. 일상 속 꾸준한 관리가 핵심입니다.
(1) 착색 방지 식습관
① 미백 후 48시간은 색소 음료, 담배, 커피 금지
② 물이나 무색 음료 중심으로 섭취
(2) 미백치약 활용
① 과산화수소, 중탄산나트륨이 포함된 제품 선택
② 마모지수가 낮은 저자극 제품이 이상적



(3) 정기적 관리 루틴
① 6개월마다 치과 검진 및 스케일링
② 자기 전에 양치하고 물로만 헹군 뒤 수면
누런이는 단순한 미용 문제가 아니라, 구강 청결과 건강의 지표입니다. 생활 습관 개선, 적절한 미백 관리, 주기적인 치과 방문 등을 통해 건강하고 깨끗한 치아를 유지할 수 있습니다. 무분별한 제품 사용보다는 본인의 구강 상태에 맞는 방법을 선택하고, 꾸준한 관리로 자연스러운 치아 본연의 색을 되찾는 것이 가장 안전하고 효과적인 방법입니다.
댓글